
胫骨结节骨骺炎(Osgood-schlatterDisease OSD)是一种过度使用而损伤是膝部疾病,主要发生在青少年运动人群。特别高发于年龄在10~15岁的男孩以及8~13岁的女孩的青春期运动者,通常男孩发病率要高...
胫骨粗隆骨软骨病又称胫骨结节骨骺炎,或胫骨结节骨软骨炎、无菌性坏死、牵引性骨骺炎。1903年,Osgood首先报道了一些胫骨结节部分撕脱的病例,不久,Schlatter又提出本病是胫骨上端骨骺的舌状下垂部分的骨骺炎,故本病亦称Osgood-Schlatter病。
sgood认为这是胫骨结节的不完全撕脱骨折。他指出,胫骨结节一般由胫骨骨干前方的骨骺形成的舌状突起发育而来,少数情况下有一单独的骨化中心,这个骨化中心会发育成独立的骨骺,日后与其上端胫骨的骨骺融合。髌韧带的下端附着于舌状突起,或者单独的骨化中心。突然的伸膝动作会使股四头肌猛然收缩,牵拉力首先通过髌韧带传到胫骨结节,再到达股四头肌腱向外延伸的部分。在典型的胫骨结节撕脱骨折中,可以观察到这些副肌腱与胫骨结节、髌韧带一起从附着点上撕裂下来。这种牵拉损伤多发生于青春期男性,此时骨骺生长最快,胫骨骨干和骨骺间有一层软骨。运动中突然的暴力伸膝,或屈膝状态下摔倒都会引起引起髌韧带突然牵拉胫骨结节而导致胫骨结节损伤。而此胫骨结节骨骺尚未融合,使发生不撕脱骨折。

其临床表现主要为胫骨结节部位疼痛、肿大和压痛,无明显功能障碍。病人多有外伤史。本病多见于10~15岁的青少年,男多于女,多为单侧,亦可双侧(约占30%),好发于喜爱剧烈运动(如跑跳、球类等)的中学生,发病缓慢。
胫骨结节骨骺是胫骨上端骨骺向前下方延伸的舌形突起。此骨骺为一牵伸骨骺,有髌韧带止于其上,使它承受经常的牵伸张力。胫骨结节骨骺约在11岁时出现胫骨骨突骨化中心,约16岁时,结节的骨化中心与胫骨上端骨骺的骨化中心融合。18岁时,胫骨结节与胫骨上端融合。在18岁以前,该结节与主骨之间有一层增殖的软骨联系。在软骨下方,新骨比较薄弱。

胫骨粗隆骨软骨病发生于骨骺未闭合前的青年生长期,该处的血循环来自髌韧带,而股四头肌发育较快,肌肉收缩使髌韧带的胫骨结节附着处张力增高并肿胀,引起胫骨结节骨软骨炎。剧烈运动或外伤可导致胫骨结节积累性劳损甚至发生撕脱骨折,从而影响血循环,造成骨骺的缺血性坏死。
由于成纤维细胞的分化和成骨细胞的活跃增生,髌韧带及其附近的软组织可出现骨化,并有新生小骨出现,位于胫骨结节的前上方。这些新生小骨的组织学表现与骨化性肌炎的骨化组织完全相同。由于髌韧带的牵拉,胫骨结节处的成骨细胞活动,促进骨质增生,使胫骨结节增大,明显向前突出。

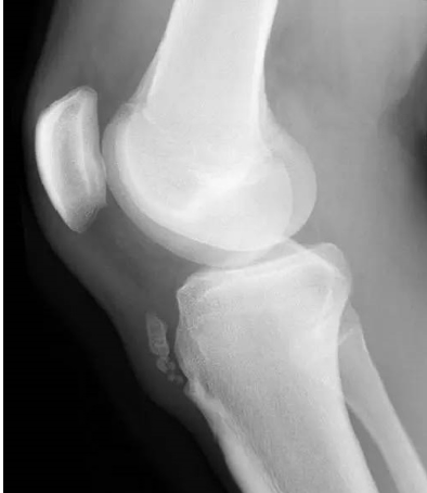
骨骺完全骨化后,疼痛可消失。检查可发现髌腱肥厚,在髌韧带附着处有增厚和肿胀,胫骨结节增大、隆起、坚硬,压痛明显,膝关节无积液,无压痛,无滑膜增厚。成年后,遗留1个无症状的隆凸,偶尔在髌韧带处有1个疼痛的小骨片,或形成高位髌骨。
胫骨粗隆骨软骨病可自愈,大部分胫骨粗隆骨软骨病患者仅需保守治疗或不需治疗。对早期疼痛较轻者,只需停止剧烈运动,症状即可缓解或消失。配合局部热敷、理疗有助于血运状况的改善,以减轻肿胀、疼痛。

对疼痛剧烈者,可局部注射醋酸曲安奈德,在肿胀的髌腱或骨骺周围软组织中行局部封闭(普鲁卡因加泼尼松龙),也能起到很好的减轻疼痛、缩短病程的作用,但也有人反对,因它可致周围软组织萎缩,甚至髌腱自发性断裂。
也可用石膏托或石膏管型固定制动3~6周,允许下肢负重,但对那些疼痛剧烈者应卧床休息或拄拐以减轻对结节部的应力,石膏固定或限制膝关节屈曲时间不能少于5周,4个月内避免剧烈运动,症状通常可以消失。
文/治疗师 李云龙